Providence Nachtbrace – Wat Je Moet Weten
Als je te horen hebt gekregen dat je scoliose hebt en een brace moet dragen, heb je waarschijnlijk vragen over hoe dit je dagelijks leven gaat beïnvloeden. Dit is nuttige informatie die je kan helpen begrijpen wat scoliose is en hoe de Providence nachtbrace werkt.
Wat is scoliose?
Scoliose is een verkromming van de ruggengraat. In plaats van recht te zijn, buigt de wervelkolom in een S- of C-vorm. Deze kromming kan ervoor zorgen dat je lichaam er scheef uitziet, bijvoorbeeld met ongelijke schouders of ribben. Het komt vaker voor dan je denkt – ongeveer 2-3% van alle tieners heeft een vorm van scoliose.

Heb ik scoliose?
Een eenvoudige test is de vooroverbuigtest. Buig voorover met je knieën en voeten tegen elkaar en laat iemand naar je rug kijken. Als er ter hoogte van de ribben een bolling aan één kant zichtbaar is, kan dit wijzen op scoliose. Foto’s van de zijkant en achterkant kunnen helpen om een beter beeld te krijgen.
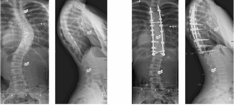
Een röntgenfoto geeft jouw behandelend orthopedisch chirurg exacte informatie over de ernst van de kromming. Op basis daarvan wordt samen met je ouders en jou besloten welke behandeling het meest geschikt is.
Hoe ontstaat scoliose?
In de meeste gevallen is de oorzaak van scoliose onbekend. Het betekent niet dat je ziek bent – de meeste vormen komen voor bij gezonde tieners tijdens de puberteit. Snelle groei kan ervoor zorgen dat er binnen enkele maanden een scheefstand ontstaat.
Belangrijke feiten
- Het is niet jouw schuld of die van je ouders
- Het schaadt je inwendige organen niet
- Het komt niet door een zware rugzak dragen of slechte houding
- Het is niet besmettelijk
- Je kunt een normaal leven leiden met sport, studie en sociale activiteiten
In heel zeldzame gevallen is de ruggengraat al vanaf de geboorte krom door aangeboren afwijkingen, of wordt het veroorzaakt door spier- of zenuwziekten.
Behandeling van scoliose
Fysiotherapie
Veel mensen met scoliose krijgen speciale fysiotherapie. Schroth-therapie is een specifieke methode waarbij je leert je rug te corrigeren door gerichte oefeningen en ademhalingstechnieken. Je ontwikkelt een betere houding en versterkt je spieren. Hoewel deze therapie veel oefening vraagt, kan het effectief zijn voor het verminderen van rugpijn en het verbeteren van je houding.
Brace behandeling
Soms is een brace nodig – een kunststof korset dat je houding corrigeert. Net zoals een beugel tanden recht zet, helpt een brace je ruggengraat. Dit wordt meestal aanbevolen als de kromming groter is dan 25 graden.
Er zijn twee verschillende soorten braces:
- Fulltime brace: Deze draag je overdag en ’s nachts, wat je bewegingen kan beperken en zichtbaar kan zijn onder je kleding
- Nachtbrace: Deze draag je alleen ’s nachts, dus je hebt meer vrijheid overdag
Operatie
In bepaalde gevallen is een operatie de beste optie. Moderne scoliose chirurgie heeft goede resultaten: de rug wordt rechter, ziekenhuisopname is meestal kort, en je kunt binnen enkele maanden weer bijna alle activiteiten oppakken.
De Providence Nachtbrace
De Providence brace draag je alleen tijdens het slapen, dus niemand hoeft het te weten. Overdag kun je normaal naar school, sporten en sociale activiteiten ondernemen. Deze op maat gemaakte brace corrigeert de verkromming van je rug terwijl je slaapt. Het materiaal is lichtgewicht en je went er relatief snel aan. Het kan helpen voorkomen dat de kromming verergert en mogelijk rugproblemen of chirurgie later in je leven vermijden.
Voordelen van de nachtbrace:
- Je hebt een volledige bewegingsvrijheid overdag
- Niemand hoeft te zien dat je een brace draagt
- Je kunt normale kleding dragen
- Je hoeft geen uitleg te geven aan klasgenoten
- Het kan voorkomen dat je later een operatie nodig hebt
Deze lichtgewicht brace voelt al snel vertrouwd aan en kan je heel wat voordelen opleveren:
- Minder kans op rugpijn in de toekomst
- Mogelijk vermijden van een operatie later
- Een rechtere rug terwijl je droomt
Het beste van alles? Niemand hoeft te weten dat je ’s nachts een brace draagt. Jouw geheim voor een gezondere toekomst, verborgen onder je dekbed! Met de Providence nachtbrace draag je overdag gewoon je normale, coole kleding.
Een interactieve 3D-model van de brace die bezoekers kunnen draaien en bekijken? Dat zou mooi zijn!
Korte animatie die laat zien hoe de brace werkt op de wervelkolom?
Een fotocollage van gepersonaliseerde braces met verschillende designs of prints, om te laten zien dat ze ook een beetje ‘cool’ kunnen zijn.
Gebruik en Verzorging van je Providence Brace
Belangrijk: Volg altijd de instructies van je dokter of instrumentmaker.
Je brace omdoen:
- Ga op je bed zitten en open de brace. Positioneer deze centraal op je rug en ga liggen. Plaats het onderrugkussen (lumbale kussen) op je taille.
- Bevestig de banden terwijl je ligt. Zorg dat de opening van de brace recht is. Begin met de middelste band, dan die eronder, en daarna die erboven.
- Maak de brace stevig vast maar niet te strak. De instrumentmaker heeft mogelijk markeringen op de banden aangebracht als richtlijn.
- Controleer of de banden niet gedraaid zijn.
Spanning van de banden:
De banden moeten stevig zitten om beweging te beperken, maar je moet je er nog wel comfortabel in voelen.
MEDIA: Video-instructie voor het correct aandoen van de brace
Wennen aan de nachtbrace
Begin geleidelijk. Test de brace eerst een uur overdag terwijl je ontspant. Probeer in het weekend ’s nachts te slapen met de brace. Als dit lukt, bouw de tijd langzaam op: een half uur, dan een uur, dan twee uur, tot je de hele nacht kunt slapen.
Als je er niet aan kunt wennen, doe hem dan gewoon uit en probeer het de volgende nacht opnieuw. Zodra je comfortabel de hele nacht kunt slapen, kun je de banden iets strakker maken volgens de instructies van je instrumentmaker.
Huidverzorging
Comfort tips
- Draag altijd een katoenen T-shirt onder je brace
- Gebruik een strak, naadloos shirt dat tot over je heupen komt
- Was dagelijks met milde zeep
- Zorg dat je huid volledig droog is voordat je de brace aandoet
Bij huidirritatie:
- Haal de brace uit als je huid geïrriteerd raakt
- Roodheid zou binnen een uur moeten verminderen
- Speciale huidverzorging (zoals kamferspiritus uit de drogisterij) kan helpen je huid te verstevigen
- Bij eczeem kan zinkzalf helpen
- Gebruik geen lotions of crèmes voor het aandoen
Bij tintelingen in je arm: Dit kan betekenen dat de okselsteun aangepast moet worden. Neem contact op met je instrumentmaker.
Onderhoud van de brace
Reinig je brace regelmatig met een vochtige doek en neutrale zeep. Vermijd heet water omdat dit de brace kan beschadigen. Desinfecteer de binnenkant met Dettol of alcohol. Laat de brace volledig drogen op een koele, droge plek. Plaats hem nooit op een radiator of in direct zonlicht.
MEDIA: Stappenplan voor het schoonmaken van de brace
Let op: Deze informatie is bedoeld als aanvulling op de instructies van je orthopeed. Bij vragen of problemen, neem altijd contact op met je zorgverlener.
Meest gestelde vragen (ouder)
Hoe lang moet mijn kind een brace dragen?
De behandelduur is afhankelijk van de ernst van de scoliose en de groei van uw kind. Als uw kind is uitgegroeid heeft een brace geen zin meer. De orthopeed zal u hierover informeren.
Kan mijn kind sporten met de Providence brace?
Ja, uw kind kan overdag gewoon sporten en andere activiteiten doen, omdat de brace alleen ’s nachts gedragen wordt.
Wordt de Providence brace vergoed door de zorgverzekering?
Neem contact op met uw zorgverzekeraar om te informeren naar de vergoedingen. (WEET ARTHUR DAT?)
Waar kan ik meer informatie vinden?
Neem contact (LINK NAAR CONTACT PAGINA) op met ons voor meer informatie of bekijk de pagina’s voor [kinderen](link naar pagina voor kinderen) en [orthopedisch chirurgen](link naar pagina voor orthopedisch chirurgen).